
Table of Contents
Cosmetic goals that require cosmetic gum surgery bring us to an important aspect in cosmetic dentistry, which is smile design: symmetry between teeth and healthy gingiva.
Cosmetic Gum Treatments
Cosmetic gum treatments are surgical procedures designed to improve gingival health and appearance by correcting defects in shape, level, and color; achieving a balance between teeth and gums leads to a symmetrical smile with perfect teeth.
Cases Need Cosmetic Gum Surgery
Several aesthetic issues need cosmetic gum surgery. Here are the cases in which the procedure can improve smile appearance:
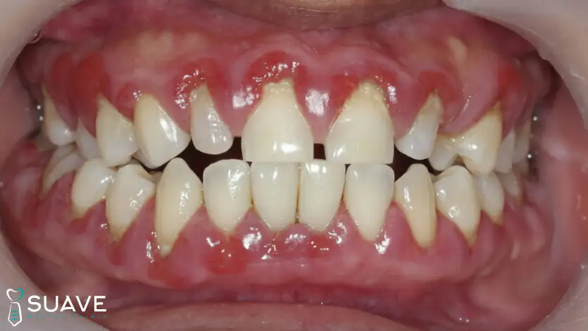
1-Gummy smile:
A gummy smile means increased gingival display during smiling due to excess gum tissue that negatively affects the smile’s aesthetic.
In such cases, the teeth look too small as their actual structure is covered by gum. This abnormal proportion between teeth and gums affects overall smile harmony.
2-Gingival enlargement (hyperplasia)
Abnormal overgrowth of gingival tissue due to different causes such as; drug induced, hormonal changes, lack of oral hygiene, or local gingival growth (prolapse) inside a tooth cavity. This enlarged gum affects the smile aesthetic and also oral hygiene.
3- Gum recession
It’s about the gingiva leaving its attachment place around the tooth neck (apical migration of the gingival margin), leaving the root exposed to the oral environment.
It can occur due to various factors like aging, after orthodontic treatment, or bad oral habits. This not only affects aesthetics but also increases the risk of tooth sensitivity and root decay.
4- Dark gums:
In some cases, the gingival color is darker than normal due to increased melanin pigmentation. This discoloration may be caused by heavy smoking, certain medication intake, or genetics.
5- Uneven Gum Line
In cases where the gum line is uneven or any other gingival defects are present that may affect the final aesthetic outcome.
6- Interdental papillary loss ”black triangle.”
A loss of gingival tissue between teeth, resulting in loss of dental papilla. Often associated with gum disease or underlying bone loss. These black triangles make teeth appear uneven and give the smile a hollow look.
It’s restored by Papilla Reconstruction surgery or composite bonding restoration, which is with even better prognosis.
7- Ridge Loss
After tooth extraction, bone loss occurs, leading to ridge deformation. A ridge augmentation surgical procedure is needed to reshape and contour the gum and underlying bone to provide sufficient support for restoration. It’s not related to cosmetic gum surgery, but it’s more reconstructive and functional pre-prosthetic surgery, like bone graft and membrane procedures prior to dental implants.
8- Gingival Detachment
Around a titanium implant, gingival escaping and recession may occur; that’s why a healing abutment is needed during the dental implant surgery, especially in extensive cases like full mouth implants.
Healing Abutments are like the gingival former contours the soft tissue during the recovery phase around the implant post to ensure a natural emergence profile (natural gingiva look) around the implants’ crowns.

What are Cosmetic Gum Treatment Procedures?
They are the surgical procedures that improve the balance between pink “gum” and white “teeth” aesthetic components, resulting in a flawless natural smile:
1- Cosmetic gum contouring: “Gingivectomy & Gingivoplasty.”
Gum contouring surgery is also known as Gum lift. This surgery reshapes the excessive gums while smiling.
By cutting excess gingival tissue to improve the gum line appearance, or removing diseased gingiva to eliminate deep infected gingival pockets, as in a gingivectomy.
Gingivoplasty is also a gum sculpting procedure to achieve an ideal and symmetrical gum contour and even gumlines.
2- Crown Lengthening
In some cases, dentists need to remove the underlying bone in addition to the gingiva in what is called “crown lengthening” for a more stable result.
3- Cosmetic Gum Graft
In this technique, periodontists manage gum recession by covering the exposed root with gum graft surgery.
A soft tissue graft is taken from another area of the mouth, usually the palate, and placed over the exposed root to restore gingival coverage.
4- Gum Depigmentation
Also known as gum bleaching and depigmentation, it is considered a periodontal cosmetic procedure, used to improve the color and tone of black spots or dark gingiva caused by excess melanin.
It aims to return the gingiva to its natural pink, healthy color, using different treatment methods, like lasers and micro-dermabrasion.
How does cosmetic gum surgery resolve smile defects? (with smile makeover)
In dental smile work, such as a Hollywood Smile Makeover, we are not only concerned with fixing teeth, but also consider the frame of each tooth, which plays a major role in its final attractive look.
Cosmetic dentistry has evolved to include teeth and gingiva. With the use of intra-oral scanning and Digital Smile Design(DSD) software, a detailed evaluation and analysis of the relationship between teeth, gums, lips, and facial features is gathered and evaluated before treatment.
The Digital workflow allows dentists and patients to be involved in the planning and designing of the ideal gumline and perfect teeth that meet the patient’s expectations.
A mockup is 3D-printed to test the final look on the patient. When it’s accepted, a physical surgical guide is printed via CAD/CAM technology.
This surgical guide is attached to the teeth and guides the dentist through the surgical gum procedures, where contouring the gingiva is performed with high-precision.
Benefits of Cosmetic Gum Procedures
By reshaping an uneven gum line, trimming excess gingiva from tooth structure, or covering exposed roots with healthy tissue. Cosmetic gum surgery can improve the smile in different ways:
- Gum line adjustment, Fixing Gum Asymmetry
Resulting in a natural gum line scalloping around teeth, it’s beneficial during cosmetic restorations like full mouth veneers or full mouth crowns. - Tooth shape improvement:
Gingival contouring helps teeth to return to their real size and shape. The tooth shape changed short teeth into more aesthetic, symmetrical ones. - Gingival color restoration:
By restoring the gum to a healthy pink color. That enhances the appearance and uniformity of the gingiva, leading to a more natural smile look.
How much does gum surgery cost?
Here is the range of different cosmetic gum surgery costs. The cost can start from 600 USD up to 10000 USD according to the case severity.
The final cost can vary widely based on several factors, including the cosmetic gum procedures, the dentist’s qualifications and experience, and the clinic location.
At Suave Clinic, we offer Laser gum surgeries done by cosmetic experts at affordable costs, with fewer hazards and more precise and safe surgical procedures.
You can book a free consultation with one of our professionals and discuss all the options for a smile makeover, including your teeth and gums.
Cosmetic gum surgery aftercare
Like any surgical procedure, there are some aftercare instructions to maintain the results. The more you follow instructions, the faster the healing you get. You have to pay attention to:
- Pain management
You might have some discomfort, inflammation, or soreness, which resolves using over-the-counter medication like Ibuprofen or acetaminophen.
In some severe cases, dentists will advise taking antibiotics to avoid infection. - Optimal oral hygiene
It’s important to keep your surgical area clean. By regular soft brushing and flossing, just away from the surgical area. Or even using antibacterial mouthwash to reduce bacteria, which will improve the healing of the gingiva. - What to eat and drink
During the first period after the surgery, you should follow a soft diet like eggs, yogurt, smoothies, soups, and pasta, and drink with a straw. These can enhance tissue healing and also help in pain control. - Rest and lifestyle
After surgery, it’s better to get enough rest and avoid any heavy exercise that may increase bleeding or swelling, like Boxing and Swimming.
Additionally, you should avoid the following:
- Pull down the lips or play in the surgical area
- Eat or drink extremely hot and cold foods
- Eat hard, spicy, acidic, or crunchy foods
- Using hard-bristle brushes
- Vigorous rinsing
- Chewing in the surgical area
- Smoking and alcohol, at least for the first 2 weeks
- Sleep on the affected side
How long does the recovery process take after cosmetic gum surgery?
Usually, the recovery process takes a few days to 2 weeks. Actually, the definite period differs from one case to another according to the number of teeth needing treatment, the type of surgery done, and the technique used.
Recently, laser gum surgeries have been used widely, providing a more comfortable procedure without any bleeding, with faster healing as if nothing had been done.
To Know More about Laser and Scalpel gum surgery, Gum Contouring Surgery has all the information you need to know.
Are there any alternatives to gum surgery?
Multiple alternatives to gum surgery fit multiple cases with different needs, including:
- Eliminating the bacterial cause may help avoid the surgical intervention :
- Antibiotic and Anti-inflammatory therapy
can be used alone or in combination with other treatments. It is common to use antibiotics like minocycline or chlorhexidine. It can be directly applied in dental pockets or in mouthwash products. - Scaling and root planning
In mild to moderate cases, the first step is to do deep professional cleaning to the teeth, removing calculus and biofilm layers that are rich in bacteria. Leaving the tooth surface smooth to prevent reattachment of plaque and bacteria.
- Antibiotic and Anti-inflammatory therapy
- Treatment for bone regeneration and tissue reattachment:
- LANAP: A Laser-Assisted New Attachment Protocol used to permanently remove the infected tissue and bacteria, while enhancing the natural regrowth of tissue around teeth without any tissue incision. This is more comfortable with fast recovery.
- Minimally invasive alternative to a traditional gum graft.
- Pinhole surgical technique (PST)
A minimally invasive technique used to treat gum recession. It involves creating a small pinhole in the gum tissue, through which a special instrument is used to reposition the gingiva back to its normal level.
- Pinhole surgical technique (PST)
- Cosmetic Alternatives
- Botox injection for the upper lip can hide moderate to excessive gingival displays like gummy smiles.
- Dental Veneers can mask uneven gumlines
- Pink porcelain and pink Emax dental crown and bridge restorations that mimic gingival scalloping around the neck, which can hide bone loss and gingival recession.
- Composite bonding with the Bioclear inter-papillary system to treat the black triangle between teeth during smiling
Cosmetic gum surgery is no longer considered a purely aesthetic procedure. It is commonly used for other medical reasons to improve both function and appearance. If you feel uncomfortable with your gingival condition, please don’t ignore it. Consultation with our qualified dentists will help get a healthier and more confident smile.
Get A Free Dental Consultation
Get A Personalized Treatment Plan and Quotation
Cosmetic Gum Surgery FAQs
Is gum contouring surgery painful?
No, when it is done right. You won’t feel pain during the procedure. However, after it, you might have slight tenderness that can be treated with OTC medications.
What is the success rate of gum surgery?
The success rate of gum surgery can reach up to 90% when post-operative instructions are followed properly.
Will gums grow back after contouring?
Usually, gum tissue doesn’t grow back after contouring. However, it can happen in rare cases when the problem wasn’t fully treated from the start, such as excess bone needing to be removed along with the gingiva.
Is gum grafting surgery considered cosmetic, or will dental coverage pay? (Will insurance pay for a gum graft?)
Medical insurance may cover gum grafting surgery if it is done for health reasons, such as tooth sensitivity or periodontal disease that can cause tooth damage and loss. On the other hand, if it is done for a cosmetic reason, funding will be unavailable.
How long does gum surgery last?
It’s a permanent treatment. You can save the result by sticking to the surgery after-care instructions.
Can you smile after gum graft surgery?
Yes, you can smile, but gently, without heavy movement or pulling on the lips.
References
Medically Reviewe