
Table of Contents
Have you ever looked in the mirror and imagined what your smile could look like if all your teeth were perfectly aligned, bright, and even?
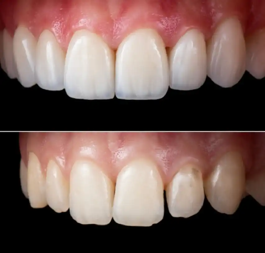
The good news is that this dream can become real through different approaches, one of which is full mouth veneers.
They are widely used as an esthetic treatment that can restore multiple defects, like worn teeth, cover discoloration, or enhance overall appearance. Full-mouth veneers can completely transform both your smile and confidence.
Full Mouth Teeth Veneers
Whole mouth dental veneers (or full-set veneers) are customized, tooth-colored, thin shells, made from different materials like composite, porcelain, glass ceramic like Emax and Empress veneers, or zirconia veneers.
They are bonded to the front surface of upper and lower anterior teeth to enhance the whole smile, including shape, size, shade, and alignment, resulting in a flawless, natural-looking smile like celebrities’ teeth and Hollywood smile.
We, at Suave Clinic, don’t over-prepare your sound, healthy teeth. Our cosmetic experts will diagnose your oral health and dental status. If you are recommended for a dental veneers treatment plan, they will inform you of the following details:
How Many Veneers Are in a Full Set?
The number of veneers you need depends on the extent of your smile and which teeth are visible. In most cases, veneers are placed on the upper front (8 to 10 teeth), according to the teeth that appeared when you smile.
However, some patients choose to cover both the upper and lower front teeth for a more balanced and uniform look.
A full mouth veneer number varies from one to another according to the rule of 4-6-8. Most smile makeovers include:
- 4 veneers: placed only on the 4 anterior teeth (2 centrals and 2 lateral incisors). Used in a narrow smile.
- 6 veneers: they cover the 6 anterior teeth (from right canine to left canine)
- 8 veneers: extend to cover the 8 front incisors and premolar teeth (all the anteriors), ideal for a wide smile.

Why Do You Need Full-Mouth Veneers?
A full mouth veneer treatment can be done for both functional and aesthetic reasons.
Improving your smile’s look, self-confidence, and quality of life. They are usually used in cases such as:
- Deep teeth discoloration that doesn’t respond to professional cleaning and teeth whitening in dental clinics.
- Cracked or chipped teeth: Veneers can effectively mask these minor defects, restoring the natural appearance of the tooth.
- Malformed anterior teeth: In most cases, veneers are the ultimate solution to cover dental malformations and improve the shape and color of affected teeth.
- Spacing between teeth, like a diastema, can close these gaps seamlessly.
Types of Full-Mouth Ceramic Veneers
Here are different types of ceramic laminates commonly used in full mouth smile design:
- E-max veneer: Made from lithium disilicate ceramic, known for its strength, minimal reduction, and excellent translucency (highly mimics the natural enamel). Perfect for those who prioritize aesthetics first and also need a bright and durable solution.
- Feldspathic Porcelain Veneer: A traditional porcelain veneer, known for its perfect enamel shades, luster, and translucency. They are designed for patients prioritizing high aesthetics over durability.
- Ultra-thin veneers, “dental lumineers”:
Another type of porcelain veneer – Cerinate porcelain – which is known for its minimal or no preparation needed. Their thickness is less than that of traditional veneers, approximately 0.2 to 0.3 mm. They’re ideal for minor cosmetic improvements or patients preferring a high-end reversible option. - Zirconia veneers: extremely strong zirconia-ceramic veneers with high resistance to fracture and a relatively less translucent appearance, making them excellent for badly discolored teeth (to mask deep discoloration defects). Used more for covering posterior teeth or patients with heavy bite force or bruxism (high resistance to fracture).
- High translucency zirconia: High translucent zirconia is perfect for full mouth veneers, especially for patients who desire a whiter smile. HT zirconia has been developed to overcome the opacity of traditional ones. It combines high strength with improved translucency and esthetics, making it an ideal choice for both durability and natural aesthetics.
What to Expect After Getting Full-Mouth Veneers?
First, you should talk honestly with your dentist about your expectations, to ensure you get realistic, satisfying results. Once you get a Full-Mouth Veneer, you will notice an immediate transformation: brighter, well-aligned teeth, and a more confident smile.
However, temporary symptoms are common during the first couple of weeks:
- Transient Tooth Sensitivity
You may feel sensitivity to hot or cold. You can use a desensitizing toothpaste and avoid hot and cold foods and drinks during the first two weeks. - Different in speech and bite
This usually resolves as you get adapted to your new veneers. However, if there is a big issue, it is better to visit your dentist as soon as possible. - Gingival irritation
It could happen due to excess subgingival resin cement, which can fall over, or your dentist can easily remove it during the follow-up visit.
It’s like any dental treatment; you may experience mild discomfort or adjustment symptoms for a short period until complete healing.
How Much Is a Full Set of Veneers in Turkey?
Getting your full set of veneers in Turkey is absolutely a smart choice. You can enjoy premium-quality dental care; you will save more than 70% of the cost compared to UK or the USA prices, in addition to exploring the beauty of Turkey.
A full mouth porcelain veneer cost in Turkey ranges from 2500USD to 4500USD. These costs are changeable according to multiple factors, such as:
- number of veneers used
- veneer material
- the complexity of the case
- Dentist expertise
- Clinic location
- Any extra treatments, if needed
Get a Cost-effective Hollywood Smile Veneers
Finding a dental clinic with high-quality Hollywood smile veneers packages and deals at an affordable price can feel like you are on a mission.
Suave Clinic has taken cosmetic dentistry to a whole new level. We design your new smile by using digital smile design workflows, high-end EU materials only, and best veneer brands like inCeram and IvoclarⓇ at affordable costs.
We offer Hollywood Smile All-inclusive at a low budget, all you have to do is book a free consultation to get your treatment plan ready!
Hollywood smile “16 E-Max Veneer”
- 16 e-max veneer “cover the 8 anterior teeth – from the right first premolar to the left first premolar- in each jaw”
- Consultation & Physical Examination
- Panoramic X-ray
- Local Anesthesia
- Private Patient Assistant
- All VIP Transfers (Airport – Hotel – Clinic)
- Treatment Duration: 4-6 Working Days (requires a 6-8 day stay)

Hollywood smile “20 E-Max Veneer”
- 20 E-max Veneers “cover the 10 anterior teeth on each jaw”.
- for wide smiles from the right second premolar to the left second premolar in each arch.
- Consultation & Physical Examination
- Panoramic X-ray
- Local Anesthesia
- Private Patient Assistant
- All VIP Transfers (Airport – Hotel – Clinic)
- Treatment Duration: 4-6 Working Days (requires a 6-8 day stay)

A full mouth veneer is more than a cosmetic upgrade. It’s a step toward a more natural, brighter, perfectly-aligned smile. That can last for many years with proper oral health care maintenance.
Get A Free Dental Consultation
Get A Personalized Treatment Plan and Quotation
References
Medically Reviewe
